Now I want a sausage sandwich 
I pretty much always want a sausage sandwich
Now I want n labs and 2n+1 sausage sandwiches. Built-in redundancy vs the insatiable hound…
Don’t remember having the chance to build a cat
Novelty first player token in the deluxe edition.
It’s a CAThedral
Never before has the “take first player token” action been such a gamble.
Wait, the bunny was Gwen all along?!
“And I would’ve gotten away with it, if it wasn’t for you meddling kids.”
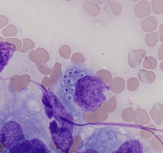
Had an exciting case recently - found these cheeky chaps sitting in a macrophage from a skin lesion from a cat from Brazil. Just had them confirmed as Histoplasma Capsulatum, not something you really want to have leaking out of your pet’s skin. I have such a pretty job!
Spelunker’s lung…
sounds hideous!
Killed someone I went to school with, if I I remember correctly. (They had underlying health problems, which made them a push over)
Goodness me, but yes it usually affects the immunosuppressed, I’ve no infomation on this cat’s immune system.
Cat AIDS maybe??
EDIT: (I studied it so long ago and in Spanish that I could not remember the FIV name in English)
Good guess and the most common cause but the cat had been check for it and feline leukaemia virus, most sick cats get checked for them as an early test.
It’s quite a pretty slide…





